The first and most important step in treatment is to establish the correct diagnosis. High quality ultrasound can usually establish the correct diagnosis, although some conditions benefit from other tests, or hormonal analysis.
There is good evidence that nutrition and lifestyle can help some conditions, such as polycystic ovarian syndrome (PCOS). However, we cannot expect that changes in diet or lifestyle will solve all issues. Real life issues can happen. Don't delay medical treatment if you have persistent symptoms of pain or bleeding.
There are a number of treatment options, summarized below.
Time is the great healer, especially when it comes to pelvic pain. Most pelvic pain is due to functional cysts (simple cysts, corpus luteal cysts, or hemorrhagic cysts) and these functional cysts always resolve- usually within 6 weeks. The pelvic pain is usually worst over a few days, but can persist for a week or more. Remember, most things we really should worry about don't begin with pelvic pain. However, please don't ignore severe pelvic pain. Recurrent pelvic pain could indicate endometriosis and this also deserves medical attention, but usually not in an A & E.
Premenopausal women —
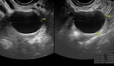
In premenopausal women, ovarian cysts less than 5 cm are usually functional and will resolve. Watchful waiting usually involves monitoring for symptoms (pelvic pain or pressure) and repeating the pelvic ultrasound after six to eight weeks. Some premenopausal women will be advised to take a birth control pill during this time to help prevent new ovarian cysts from developing.
If a cyst decreases in size or does not change, the ultrasound is often repeated at regular intervals until your health care provider is certain that the cyst is not growing. If the cyst resolves, no further testing or follow-up is required. However, patients with recurrent symptomatic cysts might consider oral contraceptives.
Persistent cysts may be due to a number of causes including
Postmenopausal women —
Realize the vast majority of cysts are benign (not cancer) in both premenopausal and postmenopausal patients. The types of persistent cysts are similar to premenopausal patients, but typically we don't tend to see endometriomas in postmenopausal patients. If the cyst shows typical benign features by ultrasound (simple cyst, nearly simple cyst or hydrosalpinx), then you can be reassured that the cyst really is benign, regardless of it's size. Followup ultrasound is still suggested, initially in about 3-6 months and then yearly until shown to be stable for 3 years. Blood tests like CA 125 levels really are not helpful when the ultrasound shows a typical benign cyst. Unlike premenopausal patients, cysts seen in postmenopausal patients usually do not resolve, unless the women is perimenopausal in which case the cyst may still be functional.
If in doubt following ultrasound, measurements of CA 125 should be considered.
If the CA 125 levels increase or the cyst grows or changes in appearance, or if the cyst is unusually large, then surgery to remove the cyst should be considered.

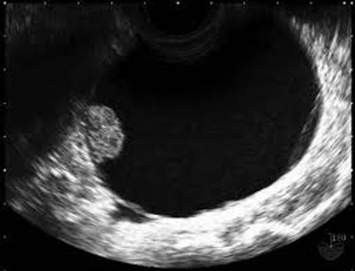
Typical benign ovarian cyst
Surgery is the last resort and rarely required for ovarian cysts
However, surgery may be recommended in the following situations:

Surgery to remove ovarian cysts —
If surgery is needed to remove an ovarian cyst, the procedure is usually done in a hospital or surgical center. Whether the surgery involves removing only the cyst or the entire ovary depends upon your age and what is found during the procedure.

Ovarian Cancer Requiring Sugery
The first and most important step in treatment is to establish the correct diagnosis. High quality ultrasound can usually establish the correct diagnosis, although other conditions require blood tests, hormonal analysis or visual inspection and swab (cervical conditions). Once properly diagnosed, a treatment plan needs to be put in place, based on several factors including the cause and severity of the condition, current health and medical history, how it affects the woman’s life, the likelihood of improvement over time and whether the woman plans to have children. Once the above factors have been reasonably considered, there are several treatment options available.Treatment options include:
Boost Progesterone naturally
Other natural treatments for heavy periods, suggested by Dr. Briden
If the above has been unsuccessful then your consultant may need to offer a surgical treatment or additional procedures. These include:

Endometrial Biopsy
Uterine Artery Embolisation (the s for Brits) is a Very Good Option
Uterine fibroid embolization (UFE) is a less invasive procedure to surgery, often as an alternative to a myomectomy or hysterectomy.
Nice guidelines: Current evidence on uterine artery embolisation (UAE) for fibroids shows that the procedure is efficacious for symptom relief in the short and medium term for a substantial proportion of patients. There are no major safety concerns. Therefore this procedure may be used provided that normal arrangements are in place for clinical governance and audit.
Procedure:
(As with any medical procedure, discuss all risks and complications with your physician)

Fibroids and Uterine Artery embolization
Vitamin D has been found to be very important in many organs. As a hormonal steroid, it is made from cholesterol. Androgens, estrogens and progesterone are also made from cholesterol. It would not be surprising to learn that Vitamin D alters the affects of the sex hormones. Indeed, Vitamin D has been found to have a strong anti-fibroid effect, as well as beneficial effects on PCOS, endometriosis, and many other conditions. However, this requires higher vitamin D intake over a longer period of time. Ciavattini et al. studied vitamin D supplementation (50,000/ week for 8 weeks then 2000 IU/ day for a year) which restored correct vitamin D serum concentrations in women with decreased Vitamin D levels (<30 ng/mL) and small burden fibroids (<50 mm in diameter and less than 4 tumors). In these women, treatment with vitamin D significantly reduced progression to an extensive disease, and thus the need of other surgical or medical therapy.
Most of us should be taking vitamin D supplementation. The usual dose of Vitamin D supplementation has been suggested to be 400 IU. day. However, 1000-2000 IU/ day is more likely to have an effect, and for people who are vitamin D deficient, it's suggested that the intake be 5000 or even 7000 IU/ day, or 50,000 IU/ week until vitamin D levels are restored. You can obtain this amount of Vitamin D with additional sunshine exposure and/or vitamin D supplementation- but not with a general multivitamin. The best way to determine your optimal vitamin D intake is by following your vitamin D levels and maintaining them between 40-80 ng/mL (some say 40-60 ng/ml).


Polypectomy (removal of polyps) is a minor surgical procedure that can be performed in our office, usually during hysteroscopy. This involves removing an endometrial polyp. While still relatively minor, the procedure requires taking more tissue than an endometrial biopsy.

Hysteroscopy is a procedure which allows your doctor to visualize the inner lining of the uterus by inserting a very narrow scope with a camera into the cervical canal. Seeing the uterine lining on the monitor gives us a clear view of the interior of your uterine cavity. Abnormal tissue, such as polyps or thickening of the lining, can be biopsied or removed at the time of the hysteroscopy. The removal of tissue would be done with a dilation and curettage (D&C). This procedure is usually performed under anesthesia in our office.

Sometimes resection of only the troublesome fibroids will eliminate symptoms. This is a particularly good option when fibroids are intracavitary in location.
A hormonal IUD (intrauterine contraceptive device) may also help regulate the menstrual cycle. IUDs are very effective in helping to prevent an intrauterine pregnancy. For this reason, if a patient with an IUD becomes pregnant, there is a much higher chance the pregnancy is outside the uterus (ectopic pregnancy)

Endometrial ablation means the endometrial cells are destroyed, often by localized heat. The layers of the endometrium then scar together. It is important to exclude intracavitary fibroids or polyps prior to ablation. Also, patients with uterine duplication may not have successful ablation procedures because not all of the endometrial lining can be obliterated with current techniques.
Endometrial ablation

The sequence of events for endometrial ablation.

Essure coils can be placed to block the fallopian tubes as a way of contraception for women who do not desire future pregnancies.

Excellent ultrasound contrast agent is now available so that a contrast enhanced hysterosalpingogram has similar accuracy to a standard salpingography for determining tubal patency. The fallopian tubes may become obstructed due to adhesions or other causes.
Vitamin D and fibroids (pdf)
DownloadTreatment of fibroids with vitamin D (pdf)
DownloadManagement of Ovarian Cysts (pdf)
Downloadendometrial cancer (pdf)
DownloadEndometriosis ACOG Guideline (pdf)
DownloadUPA treatment of fibroids (pdf)
DownloadUterus sparing treatment of fibroids (pdf)
DownloadHysteroscopy RCOA (pdf)
Download